Lietuvos chirurgija ISSN 1392–0995 eISSN 1648–9942
2025, vol. 24(1), pp. 52–56 DOI: https://doi.org/10.15388/LietChirur.2025.24(1).5
Povilas Jurgutavičius
Medicinos fakultetas, Vilniaus universitetas, Vilnius, Lietuva
Faculty of Medicine, Vilnius University, Vilnius, Lithuania
El. paštas jurgutaviciuspovilas@gmail.com
https://ror.org/03nadee84
Mindaugas Minderis
Plastinės ir rekonstrukcinės chirurgijos centras, Vilniaus universiteto ligoninė Santaros klinikos, Vilnius, Lietuva
Center of Plastic and Reconstructive Surgery, Vilnius University Hospital Santaros Klinikos, Vilnius, Lithuania
El. paštas mminderis@gmail.com
Santrauka. Kamptodaktilija – įgimta rankos deformacija, pasireiškianti fiksuota lenkiamąja kontraktūra, dažniausiai paveikianti penktąjį pirštą. Šioje literatūros apžvalgoje ir klinikinio atvejo aprašyme nagrinėjamas kamptodaktilijos klinikinis pasireiškimas ir gydymo galimybės. Liga pasireiškia 1 proc. populiacijos, gali būti vienpusė ar abipusė [1–3]. Kamptodaktilija dažniausiai nustatoma gimus arba paauglystėje. Etiologija susijusi su genetiniais pakitimais, įprastai atsirandančiais atsitiktinai arba paveldimais autosominiu dominantiniu būdu [4, 5]painless, non-neurogenic flexion deformity at the proximal interphalangeal joint of the little finger, which may occur in isolation or in various developmental dysmorphology syndromes. In a ten-year survey of almost 10,000 consecutive neurology outpatient referrals, using a passive case finding strategy, camptodactyly was observed with a frequency of 0.43%. All were cases of isolated camptodactyly, and all but one were asymptomatic. Camptodactyly was more often bilateral, often asymmetric, than unilateral. A family history was common, sometimes with intrafamilial heterogeneity (symmetry, degree of angulation. Kamptodaktilijos gydymas išlieka diskutuotinas. Lengvesniais atvejais teikiama pirmenybė konservatyviam gydymui. Kontraktūroms ribojant plaštakos funkciją, taikomas chirurginis gydymas. Straipsnyje pateikiamas atvejis, iliustruojantis kamptodaktilijos diagnostiką ir gydymą.
Reikšminiai žodžiai: kamptodaktilija, įgimta rankos deformacija, genetiniai pakitimai, lenkiamoji kontraktūra, konservatyvus gydymas.
Abstract. Camptodactyly is a congenital hand deformity characterized by a fixed flexion contracture, most commonly affecting the fifth finger. This literature review and case report highlight the clinical manifestations, and treatment options for camptodactyly. Occurring in approximately 1% of the population, the condition may be unilateral or bilateral and varies widely in severity [1–3]. Camptodactyly often appears at birth or during puberty, linked to genetic mutations, usually sporadic or autosomal dominant in nature [4, 5]painless, non-neurogenic flexion deformity at the proximal interphalangeal joint of the little finger, which may occur in isolation or in various developmental dysmorphology syndromes. In a ten-year survey of almost 10,000 consecutive neurology outpatient referrals, using a passive case finding strategy, camptodactyly was observed with a frequency of 0.43%. All were cases of isolated camptodactyly, and all but one were asymptomatic. Camptodactyly was more often bilateral, often asymmetric, than unilateral. A family history was common, sometimes with intrafamilial heterogeneity (symmetry, degree of angulation. Treatment remains controversial, with non-surgical options preferred for mild cases. Surgical intervention is considered when functionality is impaired. In this case, a patient with bilateral fifth finger contractures since birth managed the condition without surgery [3, 6]. This report aims to illustrate current understanding of camptodactyly’s natural course and discusses therapeutic strategies for better clinical outcomes.
Keywords: camptodactyly, congenital hand deformity, genetic mutations, flexion contracture, conservative treatment.
Received: 2024-11-22. Accepted: 2025-01-03.
Copyright © 2025 Povilas Jurgutavičius, Mindaugas Minderis. Published by Vilnius University Press. This is an Open Access article distributed under the terms of the Creative Commons Attribution Licence, which permits unrestricted use, distribution, and reproduction in any medium, provided the original author and source are credited.
Kamptodaktilijos terminas kilęs iš graikų kalbos žodžių ,,kamptos“ (liet. lenkti) ir ,,dactylos“ (liet. pirštas). Įgimtai piršto ar kelių pirštų netrauminės kilmės lenkiamajai kontraktūrai įvardyti šis terminas pradėtas vartoti nuo 1846 m. [7]. Manoma, kad liga serga 1 proc. populiacijos [1]. Dažniausiai paveikiami penktasis ir (ar) ketvirtasis pirštai, dviem iš trijų atvejų deformacija abipusė. Pirmojo piršto pokyčių nustatoma itin retai [2, 3]. Liga pasireiškia naujagimystėje, rečiau – paauglystėje (augimo šuolio metu) [3]. Kamptodaktilijos etiologija siejama su genetiniais pokyčiais. Dažniausia priežastis – sporadinės genų mutacijos arba paveldimumas autosominiu dominantiniu būdu. Rečiau kamptodaktilija pasireiškia kaip genetinio sindromo dalis [4, 5]. Ligos patofiziologija nėra visiškai aiški. Pakitimų sukeliama beveik visose proksimalinio interfalanginio (PIP) sąnario struktūrose (odoje, fascijose, sausgyslių dangaluose, paviršinio pirštų lenkėjo sausgyslėse, sliekiniuose ir tarpkauliniuose raumenyse, sąnariniuose paviršiuose ir kt.) [8]. Sekant natūralią ligos eigą pastebėta, kad 80 proc. atvejų liga nei progresuoja, nei regresuoja [7].
Dėl neaiškaus patologinio proceso kamptodaktilijos gydymas yra kontroversiškas. Šio darbo tikslas – apžvelgti publikuotą mokslinę literatūrą kamptodaktilijos gydymo tema ir aprašyti klinikinį atvejį.
2024 m. liepos mėn. į Vilniaus universitetinę ligoninę Santaros klinikas kreipėsi moteris dėl penktojo piršto tirpimo ir deformacijos. Apžiūros metu pastebėta penktojo piršto PIP sąnario kontraktūra abiejose plaštakose. Nustatyta, kad dešinės rankos penktojo piršto PIP sąnario aktyvus tiesimas ribotas iki 75° kampo, naudojant jėgą pirštas ištiesiamas iki 50°. Kairės rankos atitinkami rezultatai – 40° ir 20°. Kiti pirštai ir sąnariai nepakitę. Pacientė gali sugniaužti kumštį.
Kamptodaktilija moteriai pasireiškė nuo gimimo. Pakitusius pirštus ji atsimena visą gyvenimą. Tokią pat deformaciją turi pacientės tėvas ir jo motina.

1 pav. Kamptodaktilijos pasireiškimas pacientės šeimoje
Vaikystėje pacientės pirštai naktimis buvo imobilizuojami, siekiant sumažinti jų deformaciją ir suvaldyti ligos progresavimą. Konservatyvus gydymas nepadėjo. Vėliau siūlytas operacinis gydymas, tačiau pacientė atsisakė. Kontraktūra nuo vaikystės neprogresavo.
Piršto deformacija profesinėje ir buitinėje veiklose nepatogumų nesukelia. Pacientė puikiai prisitaikiusi, vienintelis skundas – estetinis. Chirurginis kontraktūrų gydymas nerekomenduotas. Piršto tirpimas nebuvo susijęs su piršto deformacija – diagnozuotas alkūnės kanalo sindromas. Atlikus sėkmingą operacinį gydymą, pirštas nustojo tirpti.

2 pav. Pacientės tėvas (matyti penktojo piršto deformacija)

3 pav. Pacientės plaštakos (nugarinis paviršius)

4 pav. Pacientės plaštakos (matyti abiejų rankų penktųjų pirštų kontraktūra)

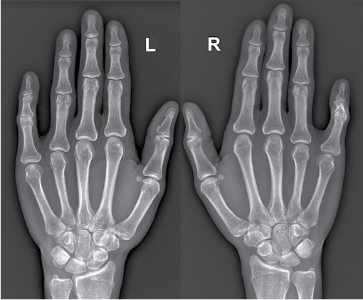
5 pav. Pacientės plaštakų rentgeno nuotrauka

6 pav. Pacientės plaštakos iš priekio

7 pav. Pacientės plaštakų rentgeno nuotrauka
Vienos nuomonės dėl kamptodaktilijos gydymo nėra. Pirmenybė teikiama konservatyvioms priemonėms. Konservatyvus gydymas rekomenduojamas esant mažesnio negu 60° kampo kontraktūroms [6]. Chirurginė korekcija turėtų būti taikoma ligai ribojant plaštakos funkcijas. Susidarius kompensacinei metakarpofalanginio sąnario hiperekstenzijai, trukdančiai rašyti ar žaisti kamuoliu, pabrėžiama operacinio gydymo svarba [3].
Konservatyvus kamptodaktilijos gydymas – piršto imobilizacija arba piršto tempimo pratimai. Piršto imobilizavimas aprašomas kaip sėkminga priemonė kontraktūrai sumažinti, tačiau, nustojus naudoti įtvarą, piršto deformacija recidyvuoja [6]. Geresnių gydymo rezultatų pasiekiama konservatyvų gydymą pradedant ankstyvajame amžiuje, neseniai pasireiškus deformacijai [3]. Tempimo pratimai siejami su teigiama proksimalinio pirštakaulio galvos, kaklo remodeliacija ir pagerėjusia PIP sąnario lenkiamąją funkcija. Hongo ir kt. [9] studijos duomenimis, pasyvios mankštos lenkiamąją kontraktūrą sumažina nuo 34° iki 6°.
Dėl plačios galimų pokyčių įvairovės PIP sąnaryje ir jį supančiose struktūrose požiūris į operacinį gydymą varijuoja. Dalis tyrėjų rekomenduoja gydymą, orientuotą į specifines pakitusias struktūras [3]. Aprašoma paviršinio pirštų lenkėjo sausgyslių tenolizė, transpozicija, rezekcija, poodinių skaidulinių juostų atlaisvinimas, pakitusių savųjų plaštakos raumenų atlaisvinimas, transpozicija ar rezekcija, odos Z plastika, sąnario kapsulės atpalaidavimas ir odos transplantavimas. Bandyta manipuliuoti įvairiomis struktūromis, tačiau dažniausiai gydymo rezultatai buvo nuviliantys [10].
Kiti tyrėjai kaip pakitusias vertina visas piršto struktūras, todėl rekomenduoja visapusišką deformacijos gydymą. Smitho ir Grobbelaaro [8] darbe aprašomas visų pakitusių struktūrų šalinimas ir pooperacinė imobilizacija. Pritaikius minėtą gydymą, pasiekta 83 proc. gerų arba labai gerų pooperacinių rezultatų, vertinant pagal Siegert skalę.
Kamptodaktiliją gydant chirurgiškai, taikomas paviršinio pirštų lenkėjo sausgyslių atlaisvinimas. Piršto lenkimą neretai sutrikdo sausgyslių pailgėjimas arba tenotomija. Parkas ir kt. [11] kamptodaktiliją rekomenduoja gydyti vieno etapo proksimalinio pirštakaulio osteotomija, santykinai pailginant voliarines struktūras, bet nemažinant lenkimo amplitudės. Atlikus operaciją, kontraktūra sumažėjo vidutiniškai 35°, o lenkimo amplitudė padidėjo 26°.
Nė vienas aprašytas gydymo būdas ligos neišgydo. Pritaikius operacinį gydymą, liga dažniausiai palaipsniui recidyvuoja.
Kamptodaktilija – klinikinėje praktikoje nedažnai nustatoma liga. Jos patologija mažai žinoma, taigi dėl gydymo taktikos diskutuojama. Darbe apžvelgtos ligos gydymo galimybės, pateiktas iliustratyvus klinikinio atvejo aprašymas.
1. Wang AMQ, Kim M, Ho ES, Davidge KM. Surgery and conservative management of camptodactyly in pediatric patients: a systematic review. Hand (NY) 2020; 15(6): 761–770.
2. Matošević M, Lamot L, Antičević D. Camptodactyly and clinodactyly – new understanding of known deformities. Acta Clin Croat 2022; 60(3): 525–531.
3. Comer GC, Ladd AL. Management of complications of congenital hand disorders. Hand Clin 2015; 31(2): 361–375.
4. Larner AJ. Camptodactyly: a 10-year series. Eur J Dermatol 2011; 21(5): 771–775.
5. Welch JP, Temtamy SA. Hereditary contractures of the fingers (camptodactyly). J Med Genet 1966; 3(2): 104–113.
6. Kloc J, Dzula B, Varga I, Klein M, Steno B. Camptodactyly: from embryological basis to surgical treatment. Medicina (Kaunas) 2023; 59(5): 966.
7. Engber WD, Flatt AE. Camptodactyly: an analysis of sixty-six patients and twenty-four operations. J Hand Surg Am 1977; 2(3): 216–224.
8. Smith PJ, Grobbelaar AO. Camptodactyly: a unifying theory and approach to surgical treatment. J Hand Surg Am 1998; 23(1): 14–19.
9. Hong SW, Kim J, Kwon OS, Lee MH, Gong HS, Baek GH. Radiographic remodeling of the proximal phalangeal head using a stretching exercise in patients with camptodactyly. J Hand Surg Am 2020; 45(5): e1–e10.
10. McCarroll HR. Congenital anomalies: a 25-year overview. J Hand Surg Am 2000; 25(6): 1007–1037.
11. Park BK, Kim HW, Park H, Park MJ, Hong KB, Park KB. One-stage extension shortening osteotomy for syndromic camptodactyly. J Clin Med 2020; 9(11): 3731.
12. Ty JM, James MA. Failure of differentiation: part II (arthrogryposis, camptodactyly, clinodactyly, Madelung deformity, trigger finger, and trigger thumb). Hand Clinics 2009; 25(2): 195–213.