Lietuvos chirurgija ISSN 1392–0995 eISSN 1648–9942
2025, vol. 24(4), pp. 298–304 DOI: https://doi.org/10.15388/LietChirur.2025.24(4).6
Kotryna Šimkūnaitė
Lietuvos sveikatos mokslų universitetas, Medicinos fakultetas, Medicinos akademija, Kaunas, Lietuva
Lithuanian University of Health Sciences, Faculty of Medicine, Medical Academy, Kaunas, Lithuania
El. paštas kotryna.simkunaite@stud.lsmu.lt
https://ror.org/0069bkg23
Aušra Lukošiūtė-Urbonienė
Lietuvos sveikatos mokslų universitetas, Vaikų chirurgijos klinika, Medicinos akademija, Kaunas, Lietuva
Lithuanian University of Health Sciences, Department of Paediatric Surgery, Medical Academy, Kaunas, Lithuania
El. paštas ausra.urboniene2@lsmuni.lt
https://ror.org/0069bkg23
Tomas Vanagas
Lietuvos sveikatos mokslų universitetas, Chirurgijos klinika, Medicinos akademija, Kaunas, Lietuva
Lithuanian University of Health Sciences, Department of Surgery, Medical Academy, Kaunas, Lithuania
El. paštas tomas.vanagas@kaunoklinikos.lt
https://ror.org/0069bkg23
Santrauka. Kasos solidinė pseudopapilinė karcinoma (SPN) – reta, mažo piktybiškumo potencialo kasos neoplazma, dažniausiai pasireiškianti jauniems pacientams. Nors liga dažniau diagnozuojama suaugusiesiems, SPN sudaro apie 8–12 proc. visų vaikams nustatomų kasos navikų. Diagnostiką apsunkina tai, kad dažniausiai navikai ilgą laiką nesukelia jokių simptomų, todėl aptinkami jau dideli – 5–7 cm. Be to, daliai sergančiųjų gali pasireikšti nespecifiniai simptomai, kurie taip pat gali komplikuoti diagnostinį procesą. Pirmojo pasirinkimo gydymas – kasos rezekcinė operacija, kurios metu radikaliai pašalinamas navikas. Ilgalaikė SPN prognozė įprastai gera, tačiau pooperaciniu laikotarpiu dažnai išsivysto kasos fistulė, kuriai gydyti gali reikėti antibiotikų terapijos ir parapankreatinio skysčio sankaupų drenavimo. Straipsnyje pristatomas klinikinis atvejis, kai 15 m. mergaitei atsitiktinai diagnozuota kasos solidinė pseudopapilinė karcinoma, lokalizuota kasos uodegoje, ir atlikta formali kasos rezekcija. Aptariama atidaus paciento stebėjimo pooperaciniu laikotarpiu svarba, galimos pooperacinių komplikacijų priežastys.
Reikšminiai žodžiai: vaikai, solidinis pseudopapilinis navikas, chirurginis gydymas, kasos navikas, pooperacinės komplikacijos.
Abstract. Solid pseudopapillary neoplasm (SPN) of the pancreas is a rare pancreatic neoplasm with low malignant potential, most commonly occurring in young patients. Although this condition is more frequently diagnosed in adults, it accounts for approximately 8–12% of all pancreatic tumors in children. The diagnosis of SPN is challenging due to its often asymptomatic nature, with tumors typically remaining undetected until they reach a considerable size of 5–7 cm. Furthermore, some patients may present with nonspecific symptoms, which can complicate the diagnosis. The treatment of choice is formal pancreatic resection, during which the tumor is radically removed. Although the long-term prognosis for SPN is generally favorable, postoperative complications such as pancreatic fistulas are common. Treatment of these complications may require antibiotic therapy and drainage of peripancreatic fluid collections. This article presents a clinical case in which a 15-year-old girl was incidentally diagnosed with a solid pseudopapillary carcinoma located in the tail of the pancreas, and underwent formal pancreatic resection. We discussed the importance of close postoperative monitoring and the potential causes of postoperative complications.
Keywords: children, solid pseudopapillary neoplasm, surgical approach, pancreatic tumor, postoperative complications.
Received: 2025-05-06. Accepted: 2025-06-15.
Copyright © 2025 Kotryna Šimkūnaitė, Aušra Lukošiūtė-Urbonienė, Tomas Vanagas. Published by Vilnius University Press. This is an Open Access article distributed under the terms of the Creative Commons Attribution Licence, which permits unrestricted use, distribution, and reproduction in any medium, provided the original author and source are credited.
Kasos solidinė pseudopapilinė karcinoma (SPN) ‒ reta kasos neoplazma, dažniausiai pasireiškianti kaip gerai inkapsuliuotas, mažo piktybiškumo potencialo auglys [1]. Šios ligos prognozė palanki ‒ net esant metastazių, 10 metų išgyvenamumas siekia iki 96 proc. [2].
SPN dažniausiai diagnozuojama jauniems pacientams, ypač moterims nuo 20 iki 40 metų [3], tačiau liga pasireiškia ir vaikams (iki 8‒12 proc. visų vaikams nustatomų kasos navikų atvejų) [4]. Vaikų kasos vėžys itin retas, kasmet diagnozuojama tik 0,018 atvejų 100 000 gyventojų [5].
SPN etiologija ir patogenezė kol kas nėra iki galo aiškios. Viena iš hipotezių teigia, kad navikas atsiranda iš daugiapotencių lytinių raukšlių ląstelių, kurios prilimpa prie kasos embriono vystymosi pradžioje. Nustatyta, kad navikinės ląstelės dažnai neturi kasos audiniui būdingų žymenų, tačiau jose pastebima lytinių hormonų receptorių raiška [6].
Ankstyvą SPN diagnostiką apsunkina tai, kad navikai ilgą laiką gali būti besimptomiai arba pasireikšti nežymiais, nespecifiniais simptomais [7]. Dėl šios priežasties SPN neretai nustatoma atsitiktinai atliekant ultragarsinį, kompiuterinės tomografijos ar magnetinio rezonanso tyrimus [1]. Skirtingai negu suaugusiesiems, vaikams SPN dažniau lokalizuojasi kasos galvoje.
Pirmasis SPN gydymo pasirinkimas ‒ radikalus chirurginis gydymas, atliekant kasos rezekciją, priklausomai nuo naviko lokalizacijos. Radikalusis gydymas siejamas su palankia prognoze. Dažniausia pooperacinė komplikacija – kasos fistulė [8].
Šio straipsnio tikslas ‒ apžvelgti klinikinį atvejį ir aptarti galimas operacinio gydymo komplikacijas bei pooperacinio laikotarpio iššūkius, kartu akcentuojant šios retos patologijos diagnostikos ir gydymo ypatumus.
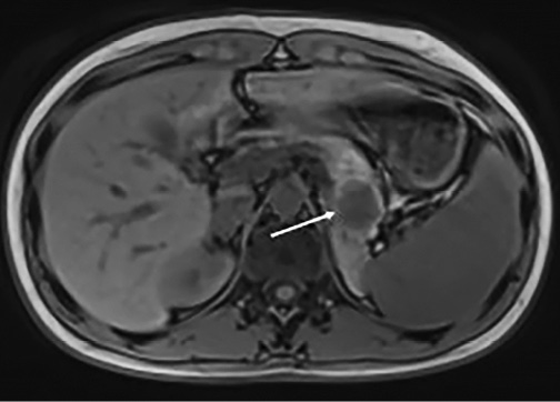
15 m. pacientei, gydytai dėl kaulų tuberkuliozės, planinio ligos stebėjimo metu 2023 m. rugsėjo mėn. atliktas magnetinio rezonanso tyrimas. Papildomai nustatytas 2,5×2,2×2,6 cm cistinis darinys kasos uodegoje, turintis solidinio pseudopapilinio kasos naviko radiologinių požymių. 2024 m. sausio mėn. MRT kontrolės metu diagnozuota, kad cistinis darinys padidėjo iki 2,8 cm (1 pav.), o birželio mėn., atlikus KT tyrimą, nustatyta, kad darinys išaugo iki 3,1 cm. Metastazių ar išplitimo nepastebėta, todėl pacientei, baigus antituberkuliozinį gydymą, nuspręsta atlikti kasos naviko rezekciją. Atsižvelgiant į naviko ypatybes ir jo lokalizaciją kasos uodegoje, prieš operaciją aptarta galimybė kartu pašalinti ir blužnį. Pacientei iš anksto atlikti visi būtinieji priešoperaciniai skiepai.

1 pav. Cistinio kasos darinio MRT vaizdas prieš operaciją
2024 m. liepos 18 d. atlikta laparoskopinė kasos distalinė rezekcija su splenektomija. Operacija praėjo sklandžiai. Operacijos metu pilvaplėvės ertmė nebuvo drenuota. Histopatologinis tyrimas patvirtino kasos solidinę pseudopapilinę karcinomą (pT2 N0 LVi0 R0 G1 stadija). Po operacijos, ištyrus alfą amilazės aktyvumą serume, nustatyta padidėjusi reikšmė (306 U/l), uždegiminiai rodikliai nebuvo pakitę. Ketvirtą pooperacinę parą, pasireiškus karščiavimui (38,8 °C) ir pilvo skausmui, atliktas ultragarso tyrimas. Nustatyta 15 ml skysčio sankaupa rezekuotos kasos uodegos projekcijoje, po kairiu diafragmos kupolu ‒ 40 ml heterogeniško audinio sankaupa (hematoma), taip pat iki 2 cm skysčio sluoksnis aplink kairiojo plaučio apatinę skiltį. Kraujo uždegiminiai rodikliai buvo padidėję: CRB ‒ 284 mg/l, leukocitai ‒ 22,5x109/l, neutrofilai ‒ 87,7 %. Alfa amilazės aktyvumas serume buvo sumažėjęs iki 62 U/l. Nuspręsta pacientę gydyti konservatyviai – antibiotikoterapija (sultamicilinu).
Nepaisant konservatyvaus gydymo, pacientės karščiavimas tęsėsi, išliko aukšti kraujo uždegiminiai rodikliai (CRB ‒ 190,4 U/l). Šeštą pooperacinę parą nuspręsta drenuoti pooperacinę kasos ložę. Kontroliuojant ultragarsu, palei kasos bigę įvestas drenas, aspiruota 25 ml drumsto turinio, paimtas pasėlis. Bakterijų pasėlyje neišaugo, alfa amilazės aktyvumas aspirate siekė 9 020 U/l. Iš įvesto dreno sekretavo apie 80 ml per parą serozinio sekreto. Pacientei įtarta pooperacinė kasos fistulė. Karščiavimas ir pilvo skausmas regresavo, kraujo uždegiminiai rodikliai rodė teigiamą dinamiką (CRB: 190,4 mg/l → 33,4 mg/l, leukocitai: 22,5x109/l → 14,5x109/l, neutrofilai: 87,7 % → 76,5 %) echoskopiškai skysčio sankaupų nebuvo matyti. Dešimtą pooperacinę parą pacientė, neišėmus dreno, per kurį išsiskirdavo apie 80 ml per parą drumsto balkšvo sekreto, išleista tęsti gydymo namuose.
Praėjus savaitei, pacientė grįžo į gydymo įstaigą dėl febrilaus karščiavimo ir pilvo skausmo. Iš dreno pradėjo skirtis žalsvas sekretas. Atlikus kraujo tyrimus, nustatyti padidėję uždegiminiai rodikliai: CRB ‒ 130,5 mg/l, leukocitai ‒ 31,5x109/l, neutrofilai ‒ 86,6 %. Ultragarso tyrimu nustatyta 6x3x2,5 cm riebalinio audinio infiltracija ir 4 ml skysčio ertmė kasos uodegos projekcijoje, o po kairiu diafragmos kupolu ‒ 2x2,5x1,5 cm dydžio hematoma. Sekreto pasėlyje išaugo Serratia nematodiphila ir Pseudomonas aeruginosa, todėl pradėta gydyti piperacilinu / tazobaktamu. Simptomai trumpam regresavo, tačiau po savaitės karščiavimas atsinaujino (iki 39 °C). Atlikus pilvo KT tyrimą, nustatyta padidėjusi (iki 4,3x4,1x2,9 cm) ribota skysčio sankaupa su oro intarpais kasos ložėje, taip pat panašios struktūros sankaupa (4,8x2,7x5,5 cm) pašalintos blužnies ložėje. Nuspręsta įvesti papildomą dreną. Fistulografijos metu patvirtinta, kad abu skysčio dariniai tarpusavyje susijungia.
Dėl besitęsiančio karščiavimo (iki 38 °C) ir išliekančių padidėjusių uždegiminių rodiklių (CRB ‒ 101,1 U/l) antibiotikoterapija koreguota (skirta cefoperazono su sulbaktamu). Pacientės būklė pagerėjo, simptomai išnyko. Fiksuota teigiama uždegiminių kraujo rodiklių dinamika (CRB: 101,1 mg/l → 14,1 mg/l, leukocitai: 31,5x109/l → 10,2x109/l, neutrofilai: 86,6 % → 71,8 %). Po savaitės gydymo drenuojamo skysčio kiekis sumažėjo, todėl pašalintas nefunkcionuojantis drenas, o po keturių dienų išimtas ir antras drenas. Kontrolinis ultragarso tyrimas parodė mažėjančią infiltraciją. Pacientė išleista į namus tęsti reabilitacijos.
Po mėnesio atvykusi kontrolinio vizito, pacientė jautėsi gerai, skundų neišsakė. Ultragarsu buvo matyti tik pooperaciniai pakitimai.
Aptartas klinikinis atvejis pabrėžia pooperacinių komplikacijų ankstyvo valdymo svarbą ir atkreipia dėmesį į galimus iššūkius, kurių gali kilti po kasos operacijos.
Kasos solidinė pseudopapilinė karcinoma ‒ mažo piktybiškumo laipsnio navikas, pirmą kartą aprašytas 1959 m. Virginijos Kneeland Frantz. Iki 1996 m. darinys buvo žinomas įvairiais sinonimais: solidinis ir papilinis epitelinis navikas, papilinis cistinis epitelinis navikas, Frantz’o navikas. 1996 m. Pasaulio sveikatos organizacija (PSO), remdamasi tarptautine egzokrininės kasos navikų histologine klasifikacija, pavadino šį naviką kasos solidine pseudopapiline karcinoma (SPN) [6].
SPN ‒ epitelinis navikas, formuojantis cistines ir pseudopapilines struktūras, dažnai kartu su dideliais nekrozės, išemijos, kraujavimo židiniais [9]. Vienas iš pagrindinių citologinių požymių, leidžiančių SPN atskirti nuo kitų neuroendokrininių navikų, ‒ cerkariforminės ląstelės [2]. Vis dėlto naviko etiologija išlieka neaiški. SPN ‒ labai retas navikas, sudarantis 0,9–2,7 proc. visų egzokrininių kasos navikų ir 5 proc. cistinių kasos navikų (dažnesnis tarp vaikų ‒ 8‒12 proc. visų vaikų kasos navikų atvejų) [2, 4, 10]. Vaikams SPN dažniausiai aptinkamas kasos galvoje, o suaugusiesiems – kasos uodegoje [11]. Analizuojamu klinikiniu atveju 15 m. pacientei SPN diagnozuotas kasos uodegoje. Tai pediatrinėje populiacijoje itin reta (straipsnio autorių praktikoje – pirmas atvejis).
Kasos solidinės pseudopapilinės karcinomos klinikiniai požymiai nėra specifiški. Įprastai ilgai nėra jokių simptomų, navikai aptinkami jau dideli ‒ 5‒7 cm [12, 13]. Daliai sergančiųjų gali pasireikšti nespecifiniai simptomai: pilvo skausmas, diskomfortas, viduriavimas ar vėmimas. Retai (priklausomai nuo naviko vietos) gali išsivystyti gelta ar skrandžio prievartinės angos obstrukcija, tačiau iki šiol mokslinėje literatūroje nėra nurodyta, kad navikas sukeltų kasos endokrininės funkcijos disbalansą [14].
Straipsnyje aptartu atveju pacientė nejautė jokių simptomų. Navikas kasos uodegoje pastebėtas atsitiktinai, atliekant pilvo magnetinio rezonanso tyrimą. Tolesnei diagnostikai pasirinktas MRT tyrimas ir MRCP. Kasos cistinis navikas įtartas nuo pat pradžių, tačiau siekta išvengti jonizuojančiosios spinduliuotės, nes pacientė dar vaikas. MRT itin naudinga cistinių navikų diferencinei diagnostikai, šių navikų sąsajai su kasos lataku nustatyti. KT informatyvesnė kasos solidiniams navikams diagnozuoti.
Pirmojo pasirinkimo SPN gydymas – kasos rezekcinė operacija. Operacijos metu gali būti atliekama distalinė, centrinė ar totalinė pankreatomija, kartu pašalinant blužnį ar dalį dvylikapirštės žarnos, tačiau operacijos apimtis priklauso nuo naviko dydžio ir lokalizacijos. Apie 10–15 proc. atvejų SPN metastazuoja į kepenis ar pilvaplėvę, todėl, jei įmanoma, atliekant pirminę rezekciją ar net esant ligos atkryčiui, rekomenduojama atlikti kepenų metastazės rezekciją [2, 15]. Straipsnyje pristatomu atveju, atsižvelgiant į tai, kad 15 m. pacientei navikas lokalizuotas kasos uodegoje ir metastazių nenustatyta, atlikta laparoskopinė kasos distalinė rezekcija su splenektomija.
Kasos solidinės pseudopapilinės karcinomos rezekcinė operacija gali būti atliekama tiek laparaskopiniu, tiek atviruoju būdu. Palyginus abi chirurgines taktikas, galima teigti, kad laparoskopinė operacija siejama su mažesniu intraoperaciniu kraujo netekimu ir retesne kraujo transfuzijos būtinybe, tačiau operacijos radikalumas ir kasos pooperacinės fistulės formavimosi dažnis reikšmingai nesiskiria [16]. Parapankreatinės skysčio sankaupos po laparoskopinės kasos distalinės rezekcijos dažnis, remiantis įvairia moksline literatūra, gali svyruoti nuo 30 iki 72 proc. [17]. Komplikacija dažniausiai siejama su pooperacinių kasos fistulių susidarymu. Atliekant kasos rezekciją, dėl piktybinių procesų kasos pooperacinė fistulė susidaro apie 7,6 proc. atvejų, tarp sergančiųjų SPN šis skaičius gali išaugti iki 14,2 proc. [18, 19].
Kasos pooperacinė fistulė ‒ tai nenatūralus susisiekimas tarp kasos latako epitelio ir kito epitelinio paviršiaus, per kurį išteka kasos fermentų turtingas skystis. Ši būklė gali būti susijusi su kasos‒enterinės anastomozės nesandarumu arba su kasos paviršiaus pažeidimu. Pooperacinė kasos fistulė nustatoma, kai drenuotame skystyje amilazės aktyvumas yra daugiau negu tris kartus didesnis už viršutinę normalią kraujo serumo ribą. Remiantis Tarptautinės kasos operacijų tyrimų grupės (ISGPS 2016) pateiktomis gairėmis, kasos fistulės, atsižvelgiant į jų klinikinę reikšmę ir gydymo poreikį, klasifikuojamos į tris tipus. A tipo fistulė, dar vadinama biochemical leak, yra kliniškai nereikšminga ir pasireiškia tik padidėjusiu amilazės kiekiu drenuotame skystyje. Ji nesukelia jokių simptomų ar komplikacijų, todėl specifinis gydymas nereikalingas, nes perkutaninio drenavimo reikia tik simptominėms ar infekuotoms parapankreatinėms skysčio sankaupoms. B tipo fistulė kliniškai reikšminga. Jai būdingas ilgalaikis (trunkantis daugiau negu 3 savaites) drenavimas ir vietinis uždegimas, galintis progresuoti į abscesą ar į C tipo fistulę. Dėl šios priežasties dažnai reikalinga antibiotikoterapija ir minimaliai invazinė intervencija. C tipo fistulė ‒ sunkiausia forma. Ji sukelia sisteminių komplikacijų, tokių kaip sepsis ar daugybinis organų nepakankamumas, dažnai reikalinga intensyvi terapija [20]. Straipsnyje aprašytu atveju pacientei susidarė pooperacinė kasos fistulė, kuri buvo simptominė ir galimai infekuota, nors pirmojo drenavimo skysčio pasėlis neparodė augančių bakterijų. Fistulė buvo B tipo, nes pacientė jau ketvirtą dieną po operacijos pradėjo jausti pilvo skausmus, nustatytas karščiavimas, padidėję kraujo uždegiminiai rodikliai. Liga komplikavosi absceso susiformavimu.
Vis dėlto išlieka klausimas, kas minėtu atveju lėmė parapankreatinio skysčio infekavimąsi. Tokiai infekcijos eigai įtakos galėjo turėti daugelis veiksnių. Mokslinės literatūros duomenimis, dažniausiai parapankreatinės skysčio sankaupos infekavimąsi lemia dreno įvedimas po operacijos. Taigi kyla klausimas, ar reikia atlikti pilvaplėvės ertmės drenavimą po laparoskopinės distalinės kasos rezekcijos. Aiškių rekomendacijų nėra, tačiau tyrimai rodo, kad kyla 12–16 proc. didesnė operacijos vietos (organo) infekcijos rizika, jei, atlikus laparoskopinę distalinę kasos rezekciją, yra drenuojama [21, 22]. Straipsnyje aprašytu atveju pacientei po operacijos drenas nebuvo paliktas (įvestas tik pastebėjus simptominę parapankreatinio skysčio sankaupą ir esant neefektyviam konservatyviam gydymui), tačiau įvestas ir ilgesnį laiką paliktas drenas galėjo lemti infekcinio proceso komplikavimąsi. Taip pat svarbu paminėti, kad pacientė prieš operaciją buvo gydyta nuo tuberkuliozės, taigi imuninė būklė buvo bloga. Prie infekcijos išsivystymo galėjo prisidėti ir atlikta splenektomija, galėjusi dar labiau susilpninti imuninę sistemą. Galima manyti, kad visos šios priežastys lėmė, jog antrasis mikrobiologinis pasėlis patvirtino hospitalinę agresyvią infekciją.
Nepaisant galimų komplikacijų, ilgalaikė SPN prognozė, taikant chirurginį gydymą, yra puiki – net ir esant tolimoms metastazėms ar ligos atkryčiui, 10 m. išgyvenamumo rodiklis viršija 95 proc. [18].
Kasos solidinė pseudopapilinė karcinoma ‒ retas navikas, turintis mažą piktybinį potencialą. Pastaruoju metu dėl gerėjančių diagnostinių galimybių ir geresnio sveikatos priežiūros prieinamumo SPN nustatymo dažnis didėja, todėl jaunoms moterims ir mergaitėms, aptikus kasos solidinį (cistinį) darinį, tikslinga įtarti SPN. Radikalus chirurginis gydymas yra tinkamiausia gydymo strategija, tačiau ypatingą dėmesį reikėtų skirti pooperacinei paciento stebėsenai dėl galimos pooperacinės kasos fistulės ar abscesų susiformavimo.
1. Shuja A, Alkimawi KA. Solid pseudopapillary tumor: a rare neoplasm of the pancreas. Gastroenterol Rep (Oxf) 2014; 2(2): 145. DOI: 10.1093/gastro/gou006.
2. la Rosa S, Bongiovanni M. Pancreatic solid pseudopapillary neoplasm: key pathologic and genetic features. Arch Pathol Lab Med 2020; 144(7): 829–837. DOI: 10.5858/arpa.2019-0473-RA.
3. Papavramidis T, Papavramidis S. Solid pseudopapillary tumors of the pancreas: review of 718 patients reported in English literature. J Am Coll Surg 2005; 200(6): 965–972. DOI: 10.1016/j.jamcollsurg.2005.02.011.
4. Gurzu S, Bara T, Sincu M, Gabos S, Vlad DM, Bara T Jr, Beres H, Jung I. Solid pseudopapillary neoplasm of pancreas: two case reports. Medicine 2019; 98(29): e16455. DOI: 10.1097/MD.0000000000016455.
5. Eklund MJ, States LJ, Acord MR, Alazraki AL, Behr GG, El-Ali AM, Morin CE, Saigal G, Shet NS, Thacker PG, Trout AT. Imaging of pediatric pancreas tumors: a COG diagnostic imaging committee/SPR oncology committee white paper. Pediatr Blood Cancer 2022; 70(Suppl 4): e29975. DOI: 10.1002/pbc.29975.
6. Paluri RK, John TA, Anastasopoulou C, Babiker HM. Solid Pseudopapillary Epithelial Neoplasm (SPEN) of the Pancreas. StatPearls, 2024.
7. Lima SO, Santana VR, Leao SC, Santosa PSF, de Albuquerque-Júnior RLC. Solid-pseudopapillary tumor of pancreas in a young woman: a case report and literature review. Rev Med Chil 2012; 140(9): 1179–1184. DOI: 10.4067/S0034-98872012000900012.
8. Kawakubo N, Takemoto J, Irie K, Souzaki R, Maniwa J, Obata S, Yoshimaru K, Nagata K, Miyata J, Matsuura T, Tajiri T. Surgical outcome and prognosis of pediatric solid-pseudopapillary neoplasm. Pediatr Int 2023; 65(1). DOI: 10.1111/ped.15666.
9. António M, Cruz A, Moutinho-Ribeiro P, Costa-Moreira P, Macedo G, Karger S. Solid pseudopapillary neoplasm of the pancreas: unfolding an intriguing condition. GE Port J Gastroenterol 2021; 29(3): 151‒162. DOI: 10.1159/000519933.
10. Cantisani V, Mortele KJ, Levy A, Glickman JN, Ricci P, Passariello R, Ros PER, Silverman SG. MR imaging features of solid pseudopapillary tumor of the pancreas in adult and pediatric patients. AJR Am J Roentgenol 2003; 181(2): 395–401. DOI: 10.2214/ajr.181.2.1810395.
11. Seung EL, Jang JY, Dae WH, Park KW, Kim SW. Clinical features and outcome of solid pseudopapillary neoplasm: differences between adults and children. Arch Surg 2008; 143(12): 1218–1221. DOI: 10.1001/archsurg.143.12.1218.
12. Chen J, Zong L, Wang P, Liu Y, Zhang H, Chang X, Lu Z, Li W, Ma Y, Yu S, Chen J. Solid pseudopapillary neoplasms of the pancreas: clinicopathologic analysis and a predictive model. Modern Pathology 2023; 36(6). DOI: 10.1016/j.modpat.2023.100141.
13. Zhao M, Wang J, Lai J, Liu F, Zhang Y, Cao L, Liu L, Ma K, Li J, Deng Q. Solid pseudopapillary neoplasms of the pancreas (SPNs): diagnostic accuracy of CT and CT imaging features. World J Surg Oncol 2024; 22(1): 1–8. DOI: 10.1186/s12957-024-03503-5.
14. Antoniou EA, Damaskos C, Garmpis N, Salakos C, Margonis GA, Kontzoglou K, Lahanis S, Spartalis E, Patsouras D, Kykalos S, Garmpi A, Andreatos N, Pawlik TM, Kouraklis G. Solid pseudopapillary tumor of the pancreas: a single-center experience and review of the literature. Vivo 2017; 31(4): 501–510. DOI: 10.21873/invivo.11089.
15. Lanke G, Ali FS, Lee JH. Clinical update on the management of pseudopapillary tumor of pancreas. World J Gastrointest Endosc 2018; 10(9): 145–155. DOI: 10.4253/wjge.v10.i9.145.
16. Tan HL, Syn N, Goh BKP. Systematic review and meta-analysis of minimally invasive pancreatectomies for solid pseudopapillary neoplasms of the pancreas. Pancreas 2019; 48(10): 1334–1342. DOI: 10.1097/MPA.0000000000001426.
17. West R, Meredith L, Tham E, Yeo TP, Bowne WB, Nevler A, Yeo CJ, Lavu H. Peripancreatic fluid collections following distal pancreatectomy and splenectomy ‒ when is intervention warranted? J Gastrointest Surg 2024; 28(7): 1027–1032. DOI: 10.1016/j.gassur.2024.04.005.
18. Patterson KN, Trout AT, Shenoy A, Abu-El-Haija M, Nathan JD. Solid pancreatic masses in children: a review of current evidence and clinical challenges. Front Pediatr 2022; 10: 966943. DOI: 10.3389/fped.2022.966943.
19. Ho IG, Ihn K, Le SM, Shin S, Han SJ. Surgical management of pancreatic neoplasms in children: a single-institution experience over 15 years. Front Pediatr 2024; 12. DOI: 10.3389/fped.2024.1468276.
20. Bassi C, Marchegiani G, Dervenis C, Sarr M, Abu Hilal M, Adham M, Allen P, Andersson R, Asbun HJ, Besselink MG, Conlon K, Del Chiaro M, Falconi M, Fernandez-Cruz L, Fernandez-Del Castillo C, Fingerhut A, Friess H, Gouma DJ, Hackert T, Izbicki J, Lillemoe KD, Neoptolemos JP, Olah A, Schulick R, Shrikhande SV, Takada T, Takaori K, Traverso W, Vollmer CM, Wolfgang CL, Yeo CJ, Salvia R, Buchler M; International Study Group of Pancreatic Surgery (ISGPS). The 2016 update of the International Study Group (ISGPS) definition and grading of postoperative pancreatic fistula: 11 years after. Surgery 2017; 161(3): 584–591.
21. Pollini T, Wong P, Kone LB, El Khoury R, Kabir C, Maker VK, Banulescu M, Maker AV. Drain placement after pancreatic resection: friend or foe for surgical site infections? J Gastrointest Surg 2023; 27(4): 724–729.
22. Abu Hilal M, Van Ramshorst TME, Boggi U, Dokmak S, Edwin B, Keck T, Khatkov I, Ahmad J, Al Saati H, Alseidi A, Azagra JS, Björnsson B, Can FM, D’Hondt M, Efanov M, Alvarez FE, Esposito A, Ferrari G, Koerkamp BG, Gumbs AA, Hogg ME, Huscher CGS, Ielpo B, Ivanecz A, Jang JY, Liu R, Luyer MDP, Menon K, Nakamura M, Piardi T, Saint-Marc O, White S, Yoon YS, Zerbi A, Bassi C, Berrevoet F, Chan C, Coimbra FJ, Conlon KCP, Cook A, Dervenis C, Falconi M, Ferrari C, Frigerio I, Fusai GK, de Oliveira ML, Pinna AD, Primrose JN, Sauvanet A, Serrablo A, Smadi S, Badran A, Baychorov M, Bannone E, van Bodegraven EA, Emmen AMLH, Giani A, de Graaf N, van Hilst J, Jones LR, Levi Sandri GB, Pulvirenti A, Ramera M, Rashidian N, Sahakyan MA, Uijterwijk BA, Zampedri P, Zwart MJW, Alfieri S, Berti S, Butturini G, di Benedetto F, Ettorre GM, Giuliante F, Jovine E, Memeo R, Portolani N, Ruzzenente A, Salvia R, Siriwardena AK, Besselink MG, Asbun HJ. The Brescia Internationally Validated European Guidelines on Minimally Invasive Pancreatic Surgery (EGUMIPS). Ann Surg 2024; 279(1): 45–57.